진료과/의료진 article
진료과목 소개
대동병원 신경외과
진료과 소개
뇌 및 척수 신경, 말초 신경에 발생되는 병변에 대하여 수술적 치료를 시행합니다. 중풍(뇌졸중) 등 뇌혈관 질환, 뇌종양, 디스크를 포함한 척추 질환, 두부 및 척추 외상, 말초 신경 질환 등을 치료합니다.
척추신경외과 소개
골다공증성 압박골절
사람의 뼈 안에는 가로세로로 많은 뼈기둥들이 그물구조로 촘촘하게 연결되어 있습니다. 골다공증이란 이러한 뼈 기둥이 약해지면서 마치 뼈 속에 구멍이 숭숭 뚫린 것처럼 보인다고 하여 골다공증이란 이름을 지니고 있습니다.
골다공증으로 인해 척추압박골절이 일어나게 되면 일상적인 생활자체가 힘들어지게 됩니다. 특히 고령의 환자에서 척추압박골절의 치료를 위해 장기간 침상안정을 하게 되는 경우, 이차적으로 폐렴이나 방광염이 온다든지 또는 원래 있던 당뇨가 악화되는 등 또다른 합병증으로 고생하는 경우를 많이 보게 됩니다.
하지만 최근에는 의학기술의 발전으로 인하여 침상안정과 약물치료, 보조기 치료에도 불구하고 지속적으로 통증이 있는 경우, 골절부위에 시멘트를 주입하는 간단한 시술을 통해서 통증이 빨리 해결되어 조기보행이 가능하게 되었습니다. 이 시술은 국소마취만으로 시술되기 때문에 전신마취의 두려움이 많은 고령의 환자에서도 적극적으로 시술되고 수술직후 환자분의 통증이 훨씬 줄어들게 되어 많은 효과를 보고 있습니다.
-
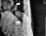
국소마취하 풍선척추성형술 시행 -
국소마취하 풍선척추성형술 시행 -
수술 후 골절부위가 시멘트로 보강
신경차단술
통증조절과 통증부위의 정확한 병변확인을 위해 주로 사용되는 신경차단술의 종류로는 압박되어진 신경근만 선택적으로 차단하는 선택적신경근차단술, 경막외공간에 스테로이드를 주입하는 경막외차단술, 통증의 원인이 되는 척추관절을 차단하는 후관절 및 내측지차단술 등이 있으며, 이러한 시술들은 예전과 다르게 수술장비와 투시장비가 발달함으로 인하여 훨씬 정확하고 안전하게 시행되고 있습니다. 특히 입원의 필요성은 없으며, 대부분 외래에서 간단히 시행할 수 있는 장점 때문에 광범위하게 시행되고 있으며, 좋은 효과를 보고 있습니다.
추간판탈출증(디스크)
추간판탈출증이 CT나 MRI로 확인된 경우에는 일차적으로 보존요법을 시행하게 됩니다. 흔히 의료기관에서는 견인치료를 포함한 물리치료나 약물치료, 통증부위주사치료라든지 신경차단술을 시행하게 됩니다. 특히 경막외차단술이나 선택적신경근차단술과 같은 신경차단술을 병행하게 되면 보존요법을 통하여서도 문헌에서는 약 80%의 환자가 증상의 호전을 얻을 수 있다고 합니다.
하지만 추간판탈출증이 매우 심하여 환자의 발목이나 발가락의 힘이 떨어져 보행장애가 생긴 경우나 배뇨배변장애까지 발생하여 소변보기가 힘든 경우, 그리고 통증의 강도가 너무 심하여 환자의 일상생활이 불가능한 경우에는 보존요법에 한계가 있기 때문에 최대한 빨리 수술적 치료를 해주어야 합니다.
수술을 시행하는 경우에는 미세현미경을 이용하여 압박된 신경근을 확인하고 파열된 추간판을 끄집어내게 됩니다. 이와 더불어 최근에는 척추내시경의 발달로 인해 약 0.5cm의 피부절개를 통해 척추내시경을 넣은 후 파열된 추간판을 실제로 보면서 제거하는 수술로 좋은 효과를 얻고 있으며, 수술당일에 바로 퇴원이 가능한 장점, 그리고 흉이 남지 않는다는 장점까지 가지고 있어서 최근들어 많이 시행되는 수술 중의 하나입니다.
-
미세현미경으로 추가판 제거장면 -
제 4/5 경추간 추간판 탈출증으로 수술 -
제 4/5 경추간 추간판 탈출증으로 수술
경추부척수병 및 후종인대골화증
경추부척추병증은 요추간판탈출증이나 협착증과 달리 비교적 드물게 확인되는 질환이지만, 최근 고령인구의 증가와 더불어 발생률이 현저히 증가하고 있는 질환 중의 하나로 조기에 적극적인 치료를 받지 않으면 환자분들께서 그 후유증으로 많이 고생하게 되는 질환입니다.
주된 증상으로는 경추부위의 통증 및 양상지의 방사통과 더불어 상지근육이 약해집니다. 서서히 보행장애가 나타나며 걸을 때 다리에 힘이 빠져서 넘어지기도 합니다. 대부분 대소변장애를 같이 지니고 있으며, 특히 양쪽 손의 움직임이 원활하지 못하게 됩니다.
이 질환의 가장 주된 원인으로 후종인대골화증을 들 수 있습니다. 이 질환은 경추뼈 뒤쪽에 자리 잡고 있는 후종인대가 뼈처럼 단단하게 변해 경수신경을 압박하는 병으로 주로 한국, 일본 등의 동양인에게 흔합니다. 더군다나 이렇게 좁아진 신경관에 교통사고나 실족과 같은 외상을 당하는 경우 목이 뒤로 젖혀지면서 척수신경에 멍이 들게 되어 앞서 말한 증상들이 갑작스레 나타나는 경우가 흔합니다.
치료는 초기에 적극적인 약물치료가 필수적이며 환자에 따라 수술적 치료를 시행하게 됩니다. 수술은 병변의 정도와 위치에 따라서 결정되며, 최근 다양한 수술기법의 발달로 환자에게 적절한 약물치료와 수술적 치료가 시행된다면 비교적 좋은 예후를 보이게 됩니다.
최소침습척추수술
이전의 수술방식인 광범위한 피부절개 및 근육손상, 관절손상으로 인한 이차적인 합병증을 예방하기 위해 최근 무수혈, 비침습적, 최소침습척추수술이 많은 발전을 이루었습니다. 본원 신경외과에서도 이러한 수술방법을 통해 3cm이내의 최소절개로 수술을 시행하고 있습니다.
-
최소의 피부절개로 최소침습척추수술 -
최소의 피부절개로 최소침습척추수술
특수클리닉
뇌손상, 뇌졸중, 뇌혈관질환, 척추손상, 추간판탈출증, 척추질환 특수클리닉 안내
- 뇌졸중 클리닉
-
신경내과와 협진으로 중풍을 포함한 뇌혈관 질환의 진단과 치료 및 수술
(MRI, 뇌혈관 조영술, CT와 MRI를 이용한 뇌혈관 검사)뇌졸중을 예고하는 5가지 증세
- 갑작스런 두통
- 현기증
- 시야가 흐림
- 언어장애
- 사지무각
-
수술 전 -
수술 후
- 척추 클리닉
-
정형외과와 협진으로 척추에 발생하는 모든 질환의 진단과 치료 및 수술
(디스크, 종양, 신경손상 등) - 신경외과적 질환
-
- 뇌혈관 질환 - 뇌출혈을 포함한 뇌혈관 질환, 동정맥 기형, 뇌혈관 동맥류의 진단과 치료
- 뇌종양 질환 - 수막종, 신경교종, 악성뇌종양, 뇌하수체종양 등 두개강내 뇌종양의 진단과 치료
- 척추 질환 - 목, 허리디스크, 신경관협착증, 골다공성 압박골절 등 척추질환의 진단과 치료
- 두부, 척추 외상 - 외상으로 인한 두부, 척추의 질환(골절, 출혈, 신경손상 등)의 진단과 치료
